
Профессиональный подход и опыт команды
Основа коллектива стоматологии «Триомед» — специалисты с большим практическим опытом, многие из которых работают вместе более десяти лет. Постоянное повышение квалификации и участие в профессиональных программах позволяют докторам применять современные подходы и находить оптимальные решения для каждого клинического случая.
Современное оснащение стоматологии
Рабочие кабинеты оборудованы современными дентальными установками, низколучевым рентгеном и системой визуализации, позволяющей оценивать состояние зубов и тканей. Все материалы и оборудование сертифицированы и имеют регистрацию, а работа осуществляется в соответствии с клиническими протоколами Министерства здравоохранения Республик Беларусь.
Комфорт и атмосфера
Интерьер стоматологи выполнен с учетом удобства пациентов, предусмотрены просторные отдельные кабинеты, что позволяют проводить прием в спокойной и организованной обстановке. Внимательное отношение специалистов также помогает пациентам чувствовать себя уверенно на каждом этапе лечения.
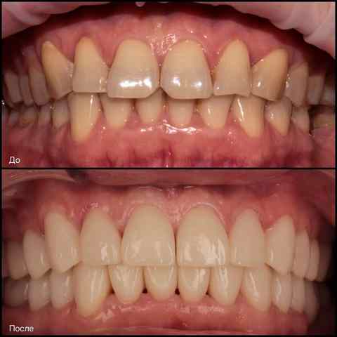
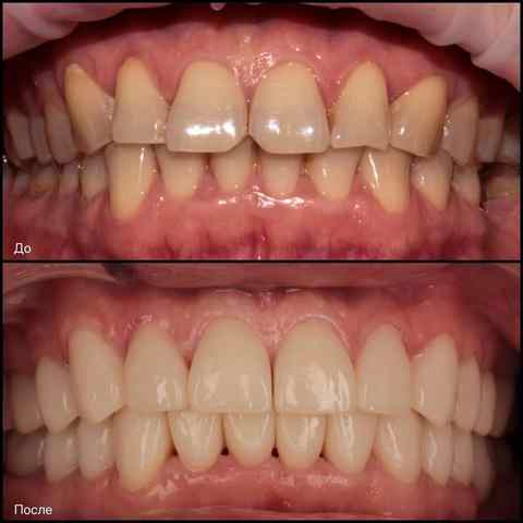
Стоматология «Триомед» специализируется на диагностике, профилактике и лечении заболеваний полости рта. Предлагаются услуги по направлениям:
Стоматология расположена в шаговой доступности от станции метро «Ковальская Слобода». Все процедуры выполняются с соблюдением утвержденных медицинских стандартов и использованием зарегистрированных материалов.
Стоматология «Триомед»: «Каждый прием — маленькое чудо для вашей улыбки!»